🫀 A Curiosa História do Primeiro Cateterismo Cardíaco
- Achilles Gustavo
- 1 de set. de 2025
- 2 min de leitura
Atualizado: 5 de set. de 2025
Como um jovem médico ousou desafiar a medicina e abriu caminho para salvar milhões de vidas
Hoje o cateterismo cardíaco é um dos exames mais realizados e seguros na cardiologia. Mas você sabia que o primeiro cateterismo da história foi feito de forma inusitada, em 1929, pelo médico alemão Werner Forssmann… em si mesmo?
👨⚕️ Quem foi Werner Forssmann?
Werner Forssmann era um jovem médico alemão que acreditava ser possível examinar o coração humano por dentro introduzindo um cateter pelas veias, algo que parecia impensável na época.
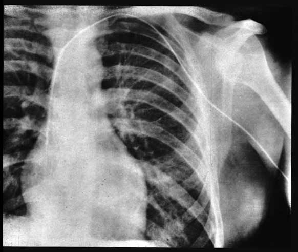
🔬 O experimento ousado
Em 1929, Forssmann decidiu provar sua teoria. Para isso:
Pegou um cateter uretral estéril de 65 cm.
Introduziu-o em sua própria veia do braço esquerdo.
Guiou o cateter até o coração, sentindo-o avançar centímetro a centímetro.
Caminhou calmamente até a sala de radiologia e, com a ajuda de um técnico, tirou uma radiografia que mostrava o cateter dentro do átrio direito.
😮 Repercussão na época
Naquele momento, muitos colegas acharam a atitude louca e perigosa. Forssmann chegou a ser criticado e afastado de hospitais por sua ousadia. E há muitos questionamentos e até lendas sobre esse acontecimento!
Mas sua experiência pioneira abriu portas para a cardiologia intervencionista moderna, possibilitando diagnósticos e tratamentos que hoje salvam vidas diariamente.
🏅 Reconhecimento tardio
Décadas depois, em 1956, Forssmann recebeu o Prêmio Nobel de Medicina, junto com André Cournand e Dickinson Richards, que aperfeiçoaram e difundiram o método do cateterismo cardíaco.
O que começou como um ato de coragem quase solitário se tornou um dos maiores avanços da medicina moderna. Hoje, graças ao cateterismo, milhões de pacientes são diagnosticados e tratados em todo o mundo.
Dr. Achilles Gustavo da Silva
Cardiologista Intervencionista – CRM 40.202















Comentários