🫀✨ Quando o coração bate do lado direito: o que é Dextrocardia e Situs Inversus Totalis?
- Achilles Gustavo
- 11 de out.
- 1 min de leitura
Você já imaginou o coração ficar do lado direito do peito em vez do esquerdo? Parece coisa de ficção, mas é uma condição real e rara chamada dextrocardia.
Em alguns casos, essa inversão vem acompanhada de uma “imagem espelhada” de todo o corpo — fígado à esquerda, estômago à direita, pulmões invertidos.
Chamamos isso de Situs Inversus Totalis 🪞
💡 Curiosidades:
Acontece em apenas 1 em cada 10.000 pessoas.
A maioria das pessoas com situs inversus vive normalmente.
O maior desafio é diagnóstico e procedimentos médicos: tudo está “do lado oposto”, exigindo atenção especial de cirurgiões, cardiologistas e radiologistas.
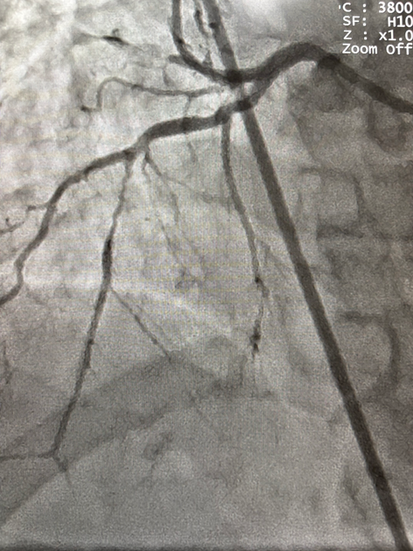
💬 Nas imagens abaixo compartilho caso de angioplastia coronária com implante de stent em paciente com dextrocardia, e cada etapa exige adaptação do olhar, da técnica e até do raciocínio anatômico. Um verdadeiro teste de precisão e concentração.
❤️ A dextrocardia nos lembra o quanto o corpo humano é fascinante ! O coração continua cumprindo sua missão: bater e manter a vida.
#Cardiologia #Dextrocardia #SitusInversus #CuriosidadesDoCoração #CIMI #DrAchillesGustavo #CardiologiaIntervencionista #Angioplastia #CoraçãoHumano
























Comentários